
画像:キャロライナ・リーパー
シネンセ種という唐辛子の品種である。赤くてこぶがありごつごつしたさやで、大鎌のような尾がついている。
キャロライナ・リーパーは、2013年ギネス世界記録で世界で最も辛い唐辛子に認定されており、それまで記録を保持していたトリニダード・スコーピオン・ブッチ・テイラーより辛いと認定された。
(※現在は、キャロライナ・リーパーより辛いとされる唐辛子ドラゴンズ・ブレスが開発されている。)
1 2018/04/10(火)
「世界一辛い」トウガラシを食べた男性の脳血管に狭窄が見つかった
![]()
(CNN) 米ニューヨークで開かれたトウガラシの大食い大会で、世界一辛いといわれる「キャロライナ・リーパー」というトウガラシを食べた挑戦者の男性が、直後に激しい頭痛を訴えて病院に運ばれた。神経科の専門医が9日の医学誌BMJに発表した症例報告で明らかにした。
患者は34歳の男性で、頭と首の激しい痛みを訴えて病院の集中治療室に運ばれた。大会でキャロライナ・リーパーを食べた直後に後頭部に激痛が走り、頸部から頭部にかけてたちまち痛みが広がったという。
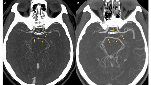
病院で検査した結果、脳出血や脳梗塞は起きていないことが判明。しかしCT血管造影を使って脳内の血管を調べたところ、左側の内頸(ないけい)動脈など脳につながる4本の血管に大きな狭窄(きょうさく)が見つかり、トウガラシが原因と思われる可逆性脳血管攣縮(れんしゅく)症候群(RCVS)と診断された。
専門家によると、RCVSは雷に打たれたような激しい頭痛を伴う疾患で、大抵は数日から数週間で回復するが、重症化すると命にかかわることもある(略)
トウガラシに多く含まれるカプサイシンという化学物質は、身体の特定部位の血管を狭窄させる作用があることが分かっており、局所医薬品にも少量が使われる。
しかしトウガラシがRCVSを引き起こした症例の報告は今回が初めてだという。キャロライナ・リーパーの辛さはハラペーニョの400倍以上といわれている。
男性は治療を受けて快方へ向かい、数日後に退院した。5週間後の検査では、血管狭窄の症状は解消されていたという。
2018.04.10 Tue posted at 11:01 JST
CNNニュース
https://www.cnn.co.jp/fringe/35117471.html
4
激辛料理とか害でしかないじゃないか
307
>>4
ワサビを好む日本人
ワサビを好む日本人
368
>>307
わさびも唐辛子もキムチも適量なら問題ないんじゃね?
わさびも唐辛子もキムチも適量なら問題ないんじゃね?
6
それもう毒だろ…
13
>>6
だね
だね
7
あんまり辛いもの食べると耳の中が痛くなるんだけど
おかしいわけじゃないんだな
おかしいわけじゃないんだな
292
>>7
オレも辛いもの食べると、首が痛くなったりするよ
オレも辛いもの食べると、首が痛くなったりするよ
18
ウチにあるわ、これの一味
20
ユーチューバー「世界一辛いトウガラシ食べたら大変なことになったw」
28
>>20
もうセイキンが似たようなことやってる
もうセイキンが似たようなことやってる
32
鈴木亜美ならば平気で食べそう。
33
時には料理を残す。食べない。そういった勇気も必要。
人間は食中毒でも氏ねるんだよ。
人間は食中毒でも氏ねるんだよ。
35
ハバネロより辛いジョロキアは知ってたけどそれより辛いのが出てきてたのか
329
>>35
四天王で言うとハバネロは最弱か
四天王で言うとハバネロは最弱か
37
>>1
>キャロライナ・リーパーの辛さはハラペーニョの400倍以上
すげぇw
>キャロライナ・リーパーの辛さはハラペーニョの400倍以上
すげぇw
38
このレベルだと辛いじゃなくて痛いだけじゃ?
56
>>38
唐辛子で辛味と言われるカプサイシンに対する反応は元々辛いじゃなくて刺激(痛み)ってあるから、どうなんだろうね?
(カプサイシンとか口に入れなくても肌につけても腫れる反応があるから、味覚ではない的な)
唐辛子で辛味と言われるカプサイシンに対する反応は元々辛いじゃなくて刺激(痛み)ってあるから、どうなんだろうね?
(カプサイシンとか口に入れなくても肌につけても腫れる反応があるから、味覚ではない的な)
41
ちょっと試してみたいw
44
ここまでくると兵器だろ
47
辛いもの食べると脳にダメージあるのか
興味本意で買ったままのLEEの辛さ30倍(辛さ増強ソースで45倍)あるんだが口にするの怖いな
てか賞味期限が3年前に切れてた
興味本意で買ったままのLEEの辛さ30倍(辛さ増強ソースで45倍)あるんだが口にするの怖いな
てか賞味期限が3年前に切れてた
332
>>47
今回のトウガラシの1万分の1にも満たない辛さだろう。心配するな。
今回のトウガラシの1万分の1にも満たない辛さだろう。心配するな。
336
>>47
30倍ならまだ普通に食えるレベル
30倍ならまだ普通に食えるレベル
71
俺は赤いペヤングが限界かなw
122
>>71
何気にあの赤ペヤングかなりレベル高いよな
俺は断念した
何気にあの赤ペヤングかなりレベル高いよな
俺は断念した
58
激辛は心臓にもダメージでかいし
60
おっそろしいな…
63
普通のタイ料理食ってたら酷い頭痛が来たけどこれか
あれ以来タイ料理怖くて食えん
あれ以来タイ料理怖くて食えん
64
カロライナ・リーパーは昔からあるだろ
辛すぎて試す人がいないから話題にならなかっただけじゃ?
辛すぎて試す人がいないから話題にならなかっただけじゃ?
80
辛い物が苦手な俺からすると
世界一辛いトウガラシの大食い大会とか
気が狂ってるわ(´・ω・`)
世界一辛いトウガラシの大食い大会とか
気が狂ってるわ(´・ω・`)
94
60万スコヴィルのデスソース舐めたことあるけど、爪楊枝の先に
ちょろっとつけて舐めるだけで口の中全体が燃えたな。
ちょろっとつけて舐めるだけで口の中全体が燃えたな。
102
辛さってとことん濃縮できるからな
ヤバいデスソースはどういうわけか近づくだけで皮膚が痛くなる
直接口に入れた奴は全身が痙攣して救急車騒ぎにまでなった
ヤバいデスソースはどういうわけか近づくだけで皮膚が痛くなる
直接口に入れた奴は全身が痙攣して救急車騒ぎにまでなった
339
>>102
辛味成分は揮発するからな。
辛味成分は揮発するからな。
124
カレーの甘口と辛口は唐辛子の量の違い
お豆
お豆
156
>トウガラシの大食い大会
普通に命にかかわる大会だな。
何があっても訴えません的な誓約書でも書かせてるのかな。
普通に命にかかわる大会だな。
何があっても訴えません的な誓約書でも書かせてるのかな。
157
やっぱ辛いものは食いすぎたらダメなんだな
162
身近にトウガラシでやられたのが居るからなあ
163
アマゾンで「大魔王」ってキャロライナリーパーのとんがらし買った
辛いじゃなくイタイだった
辛いじゃなくイタイだった
168
このスレ見るだけで体温が上がるわ
169
怖い
辛い食べ物はやっぱり体に毒なんだよ
知人が激辛カレー食べて腸炎で1カ月間ずっと下痢してた
辛い食べ物はやっぱり体に毒なんだよ
知人が激辛カレー食べて腸炎で1カ月間ずっと下痢してた
185
「辛さ」
というのは、味覚ではありません、痛覚です
辛いの反対は甘いではありません
甘さと辛さは普通に同居できます
辛いの食ったから甘いので舌を元に戻す・・・というのは間違い
辛さで舌がつらい時はまず氷(水)で冷やしたり(痛覚の麻痺)舌に残ってる成分を洗い流すこと
というのは、味覚ではありません、痛覚です
辛いの反対は甘いではありません
甘さと辛さは普通に同居できます
辛いの食ったから甘いので舌を元に戻す・・・というのは間違い
辛さで舌がつらい時はまず氷(水)で冷やしたり(痛覚の麻痺)舌に残ってる成分を洗い流すこと
199
辛い物は慣れでかなり軽減されるからな
昔はマグマみたいなラーメン食ってた俺だが久しぶりに食うと普通のキムチですら頭痛する。あれはゆるやかな毒だw
昔はマグマみたいなラーメン食ってた俺だが久しぶりに食うと普通のキムチですら頭痛する。あれはゆるやかな毒だw
207
>>199
辛味は痛覚らしい、俺は内臓が受け付けなくなって久しぶりに食べたら口が腫れ上がって情けなかったけどこれが普通なんかな
辛味は痛覚らしい、俺は内臓が受け付けなくなって久しぶりに食べたら口が腫れ上がって情けなかったけどこれが普通なんかな
212
>>207
口が腫れるなら内臓も腫れるだろうから
食べない方が良いんじゃ…
口が腫れるなら内臓も腫れるだろうから
食べない方が良いんじゃ…
222
>>212
毎日激辛料理食い続けたらある日お腹壊すようになって、原因がわかってからは食べないようにしてる。
よくあんなもん毎日食ってたよ
毎日激辛料理食い続けたらある日お腹壊すようになって、原因がわかってからは食べないようにしてる。
よくあんなもん毎日食ってたよ
221
>>207
そうそう。そもそも辛いと言うより口が腫れ上がったり口内が荒れたりして食えたもんじゃない
以前は汁もライスにかけて食ってた訳でスパイが毒に耐性付ける話みたいだなとシミジミ
そうそう。そもそも辛いと言うより口が腫れ上がったり口内が荒れたりして食えたもんじゃない
以前は汁もライスにかけて食ってた訳でスパイが毒に耐性付ける話みたいだなとシミジミ
200
なんでそこまで辛く進化したんだろう。
260
>>200
害虫から身を守るためやろな。
種を運んでもらう鳥は辛味を感じないという説も。
害虫から身を守るためやろな。
種を運んでもらう鳥は辛味を感じないという説も。
314
>>260
勉強になった!
勉強になった!
223
前まで世界一辛いブートジョロキアとか言ってなかったか?
224
タバスコ 2,500スコヴィル
ハラペーニョ 8,000スコヴィル
ハバネロ 35万スコヴィル
ブートジョロキア 100万スコヴィル
ウルトラデスソース 117万スコヴィル
トリニダードスコーピオン 146万スコヴィル
キャロライナリーパー 220万スコヴィル←ここ
ドラゴンズブレス 240万スコヴィル
ハラペーニョ 8,000スコヴィル
ハバネロ 35万スコヴィル
ブートジョロキア 100万スコヴィル
ウルトラデスソース 117万スコヴィル
トリニダードスコーピオン 146万スコヴィル
キャロライナリーパー 220万スコヴィル←ここ
ドラゴンズブレス 240万スコヴィル
231
>>224
オーバーキルしてますやん
オーバーキルしてますやん
235
>>224
ハバネロ辺りから十分に生物兵器と言えるな
目に入ったら失明かしばらく目が開けられないだろうに
ハバネロ辺りから十分に生物兵器と言えるな
目に入ったら失明かしばらく目が開けられないだろうに
365
>>323
ドラゴンズブレスが最強か
ドラゴンズブレスが最強か
250
趣味でキャロライナ・リーパーとトリニダート・モルガ・スコーピオンを育ててるけど
あくまで観賞用で食べたこと無いな…。冬に室内に取り込んだときに完熟して落ちた
実を踏んだことがあるけど、足の裏が辛く? なって焦ったわ…
あくまで観賞用で食べたこと無いな…。冬に室内に取り込んだときに完熟して落ちた
実を踏んだことがあるけど、足の裏が辛く? なって焦ったわ…
255
大食い大会って何で新たな氏に方を開発しようとしてるかのようにバリエーション豊かなんだ。
水をがぶ飲みする大会の優勝者が真水を致死量まで飲んだ結果帰宅後に氏亡とか昔あったよな。
水をがぶ飲みする大会の優勝者が真水を致死量まで飲んだ結果帰宅後に氏亡とか昔あったよな。
265
俺達がくってるのは唐辛子を隠し味に使った料理でそれを辛いと呼んでるけど
こういう人はサラダのようにボリボリ食べるんでしょ
おかしくなって当然
こういう人はサラダのようにボリボリ食べるんでしょ
おかしくなって当然
284
リーパーとかサドンデスとかデスソースとかそんなネーミングもあながち嘘でもないな・・・
294
おれ、なんでもデスソースのサドンデスかけて食べるけど
こんな怖いニュースみたらかけるのやめようかとおもった
こわい
こんな怖いニュースみたらかけるのやめようかとおもった
こわい
320
>>294
「突然死」なんて名前のソースかけてたらどうなるのかよくわかるニュースですね
「突然死」なんて名前のソースかけてたらどうなるのかよくわかるニュースですね
383
キャロライナリーパーって小売が購入するときに
食物じゃなくて劇毒なので食用目的で売らないという宣誓書面書かされる奴のことかな
確か世界一辛い唐辛子の一番辛いやつは死人出すぎてそうなって食品ではなくなったって聞いたけど
食物じゃなくて劇毒なので食用目的で売らないという宣誓書面書かされる奴のことかな
確か世界一辛い唐辛子の一番辛いやつは死人出すぎてそうなって食品ではなくなったって聞いたけど
400
辛さは痛覚だしな
危険きわまりない
危険きわまりない
419
>>400
昔カレー専門店で辛さ20倍カレー食べたことあるが
一口食べた直後に舌から後頭部に強い電流が走るような激痛が走ったわ
翌日はトイレ行く度に激痛で氏にそうになった
昔カレー専門店で辛さ20倍カレー食べたことあるが
一口食べた直後に舌から後頭部に強い電流が走るような激痛が走ったわ
翌日はトイレ行く度に激痛で氏にそうになった
引用: 【米国】「世界一辛い」トウガラシ(キャロライナ・リーパー)を食べて脳血管にダメージ 34歳男性、直後に激しい頭痛を訴えて入院



コメント
コメント一覧 (19)
でもほんのちょっぴりなめてみたいwしぬかな?
デスソースやらその上やらもう次元が違いすぎて手をだしたくもないぞ
辛いもの好きは美味しいとかじゃなくて刺激がほしいのか?
辛いものは胃ガンとかにも繋がるそうだしあんな無理して食べさせないで欲しいなと見てて思う
でも七味なら体にいいらしいよ
漢方に使う素材が入ってるから
たいして辛くないしね
観賞用に育ててみたいな
唐辛子のカプサイシンが火傷と同様の痛みなどを引き起こしているだけで実際に火傷はしてないみたい
味はピリ辛程度で飲みやすく体重減ったらいいなとのんきに構えていたら下血してしまいました。
まあ、そういうのが好きで、食べても問題ないような人以外、普通に食べようとするものじゃないのかもしれないけど
一番ヤバイ組み合わせで当たり前のように食べ過ぎな量を食べるキムチなんかと一緒にしてくれるなよ
辛いもの食えたところで偉くなれるわけでもないのにね
辛いの好きなのに唐辛子が喉にくっつくと翌日に喉が腫れて熱が出る。耳も痛くなるし食べられない。
これがパブロフの犬
止めた方がいいんじゃないかなぁ
いくら芸人でも、おもしろいより見てて可哀想になる
わさびの辛味成分はグルコシノレート系のアリルイソチオシアネート
系列からわかるように、カプサイシンは麻酔薬としても使えるヤバイ成分である
わさびに麻酔効果はない
コメントする